DENTVITALIS - Dentisti Croazia, Krešimirova 60, Fiume, Croazia.  Orario lavorativo: Mar-Sab 8-16

Sbiancamento dentale

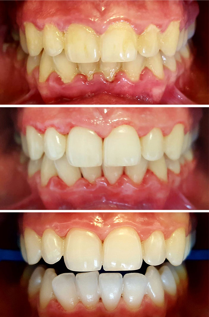
inner_img1

Durata dell'intervento: una sola visita

Grazie alle tecnologie di ultima generazione, oggi è possibile sbiancare i denti per un sorriso perfetto in appena 45 minuti con una procedura sicura e indolore ottenendo denti di 2-3 tonalita' piu' chiari.

Sbiancamento dentale

Negli ultimi 10 anni l'interesse per lo sbiancamento e i suoi vari metodi e' aumentato sensibilmente. Il successo dello sbiancamento dipende da una serie di parametri quali: corretta acquisizione dell'anamnesi, corretta diagnosi, la scelta del metodo adeguato.

Lo sbiancamento dei denti vitali può essere effettuato presso lo studio odontoiatrico oppure in maniera autonoma a casa, con l'applicazione di mascherine e gel sbiancante.

Per lo sbiancamento presso il nostro studio utilizziamo Opalescence™ Boost 40% - gel sbiancante al 40% di perossido d'idrogeno che viene attivato con l'apposito attivatore addizionato con fluoruro di sodio e nitrato di potassio che, come e' stato dimostrato, riducono la suscettibilita' alla carie e la sensibilita' ed inoltre migliorano la microdurezza dello smalto. Prima di procedere all'aplicazione del gel, i denti vengono puliti e il tessuto molle va protetto con OpalDam™ (resina fotopolimerizzabile e fotoriflettente ad adesivita' passiva). In seguito viene applicato il gel Opalescence™ Boost (40% di perossido d'idrogeno). Il procedimento prevede 2-3 applicazioni 15 minuti ciascuna e viene eseguito durante una sola visita. Dopo aver completato lo sbiancamento è necessario pulire bene i denti e fluorizzarli.

Per sbiancare i denti a casa si utilizza perossido di carbamide al 10% o al 20%. Sarebbe necessario preventivamente prendere il calco per realizzare una mascherina individuale. Insieme alla mascherina e il gel per lo sbiancamento vengono consegnate anche le istruzioni per l'applicazione.

E' possibile anche lo sbiancamento dei denti devitalizzati o trattati endodonticamente sempre con Opalescence™ Boost 40%. Il gel viene applicato all'interno della cavita' dentale e lasciato agire alcuni minuti. Dopo aver completato lo sbiancamento e' necessario pulire bene il dente e verificarne la tonalita' otenuta.

In caso di sensibilita' ai denti dopo lo sbiancamento si consiglia l'uso dei prodotti a base di Nitrato di Potassio tipo UltraEZ.

Osservando le indicazioni del medico e mantenendo un'igiene orale accurata, si possono raggiungere e mantenere risultati ottimi e duraturi.

Scoprite di più sull'materiali.

Scoprite di più sul bruxismo (digrignamento dei denti).

Scoprite di più sulla disinfezione e sulla sterilizzazione.

Sbiancamento denti

Prenota subito per una prima visita gratuita: 800 174 206 (dalle 8 alle 20)

Prenota la prima visita gratuita
a Rijeka (Fiume), Croazia!

  • Trasferta assicurata

    La clinica si trova a soli 65 km da Trieste. Per i nostri pazienti organizziamo il viaggio da Triestge a Fiume e vice versa (dalla stazione centrale ferroviarie di Trieste e dall'aeroporto Ronchi dei Legionari di Trieste).

  • Alloggio organizzato

    Alloggio accogliente e bello. A seconda delle esigenze e dei desideri di ogni singolo paziente possiamo organizzare oppure intermediare nell'organizzazione del pernottamento.

  • Metodi di pagamento

    E' possibile effettuare il pagamento tramite il bonifico bancario, contante oppure le carte di credito (Visa, Mastercard, Maestro)

  • Garanzia

    Offriamo la garanzia su tutti i nostri lavori protesici ed implantari. Leggi di piu'...

Tenetevi in contatto con noi
  • nobel
  • cerec
  • hddi
  • komora
  • academy
  • global
  • eao